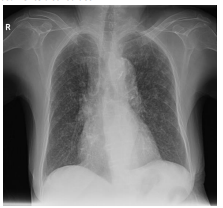
Uma mulher de 40 anos, com sintomas respiratórios e
emagrrecimento apresenta alterações em radiografia de
tórax,em posição póstero-anterior, compatíveis com padrão
miliar (imagem).
Em relação a este padrão, considere os itens a seguir.
I. Representam tênues opacidades nodulares agrupadas, de difícil visualização, localizadas nas regiões apicais e axilares
II. Representam opacidade lobar associada a linhas que convergem para o hilo (convergência hilar)
III. Representam micronódulos entre 2 e 3mm de diâmetro difusamente distribuídos

"https://radiopaedia.org/?lang=us">Radiopaedia.org. From the case <ahttps://radiopaedia.org/cases/31375?lang=us">rID: 31375</a>
Está correto o que se afirma em
I. Representam tênues opacidades nodulares agrupadas, de difícil visualização, localizadas nas regiões apicais e axilares
II. Representam opacidade lobar associada a linhas que convergem para o hilo (convergência hilar)
III. Representam micronódulos entre 2 e 3mm de diâmetro difusamente distribuídos

"https://radiopaedia.org/?lang=us">Radiopaedia.org. From the case <ahttps://radiopaedia.org/cases/31375?lang=us">rID: 31375</a>
Está correto o que se afirma em