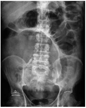
Homem, 70 anos, apresenta tumor no cólon esquerdo e está fazendo exames de estadiamento e avaliação pré-operatória. O exame de colonoscopia completo não revelou lesões sincrônicas. Aguardando ser novamente atendido, começou a apresentar dor abdominal e distensão importante do abdome, com parada de eliminação de gases e fezes. Procurou o pronto-socorro, sendo que lhe foi solicitada uma radiografia do abdome (VIDE IMAGEM).

Após avaliação, a equipe cirúrgica deverá indicar ao paciente
Provas
Questão presente nas seguintes provas