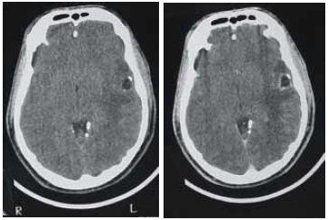
Uma paciente de 35 anos de idade foi levada ao prontosocorro após uma convulsão. Ao exame de admissão, encontravase confusa, sonolenta, porém reativa ao chamado. Apresentava sutil paresia braquiofacial direita. O esposo informou que, nos últimos cinco meses, a paciente começou a apresentar dificuldade para se comunicar, troca de palavras e dificuldade para nomeação. Há duas semanas, o quadro piorou e começou a ficar desligada e a apresentar abalos musculares no membro superior direito, de rápida duração, além de queixar-se de dor de cabeça. Foi realizada uma tomografia computadorizada (TC0 de crânio, sem e com contraste, obtendo-se as imagens a seguir.

Com referência a esse quadro clínico, julgue os item que se segue.
A imagem mostra um edema vasogênico, que tem como base a ruptura da barreira hematencefálica, levando a aumento da permeabilidade e passagem de líquidos do espaço intravascular para o extravascular, extracelular.