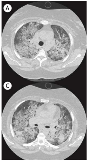
Um homem de 44 anos de idade, portador de IC há dez anos, em uso regular de furosemida (40 mg por dia), espironolactona (25 mg por dia), losartana (50 mg por dia) e amiodarona (400 mg por dia), em razão de episódio de taquicardia ventricular sustentada há três anos, ao exame físico, mostrava-se em estado geral regular, com tosse não produtiva, dispneia e ausência de febre, FR de 18 irpm, sat. de O2 de 97% em ar ambiente, FC de 54 bpm e PA de 130 x 90 mmHg, bilateralmente. Foi iniciado um tratamento para insuficiência cardíaca descompensada e introduziu-se ceftriaxone para a infecção pulmonar. Não houve melhora com essas condutas. Realizou-se um estudo tomográfico (mostrado a seguir) e uma biópsia transbrônquica, que mostrou pneumonia intersticial crônica não específica, com moderado infiltrado inflamatório mononuclear no septo alveolar e abundante número de macrófagos nos espaços alveolares.

Com base nesse caso hipotético, assinale a alternativa que apresenta o diagnóstico mais provável.