Magna Concursos
2886376 Ano: 2022
Disciplina: Medicina
Banca: UFRGS
Orgão: SES-RS
Provas:

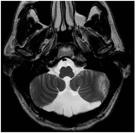
Paciente masculino, de 14 anos, vem realizar ressonância magnética do encéfalo, que apresentou imagem típica de Megacisterna magna. Sobre esse diagnóstico, assinale a alternativa correta.

Axial T2

Enunciado 3173388-1

 

Provas

Questão presente nas seguintes provas

Médico - Radiologia

100 Questões