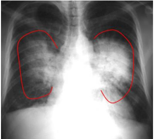
Observe a radiografia, abaixo:

Fonte: https://dapi.com.br/wp-content/uploads/2018/11/bases-radiologicas-das-doencas-toracicas.pdf
Acima, temos uma radiografia frontal de paciente portador de insuficiência cardíaca congestiva. Observa-se aumento da área cardíaca e consolidações bilaterais com padrão de “asa de borboleta”, que indica: