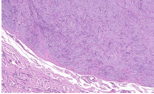
Homem, 25 anos, com nódulo bem delimitado de 1 cm, sem topografia especificada. Recebido fuso de pele com lesão nodular central. Observe a figura abaixo. Assinale a alternativa que apresenta o diagnóstico.

Homem, 25 anos, com nódulo bem delimitado de 1 cm, sem topografia especificada. Recebido fuso de pele com lesão nodular central. Observe a figura abaixo. Assinale a alternativa que apresenta o diagnóstico.
