Magna Concursos
1663867 Ano: 2019
Disciplina: Medicina
Banca: UPENET/IAUPE
Orgão: SES-PE

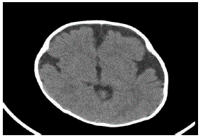
Lactente de sete meses de idade está em consulta de rotina de puericultura. A mãe teve uma gestação e parto sem intercorrências e nasceu com um perímetro cefálico de 35 cm. Ao exame neurológico, foi evidenciada uma fontanela ampla e depressível, perímetro cefálico de 48 cm, com marcos do desenvolvimento normais.

Na investigação, foi realizada tomografia computadorizada de crânio (ver abaixo).

enunciado 1663867-1

Qual é o diagnóstico?
 

Provas

Questão presente nas seguintes provas