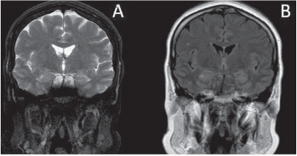
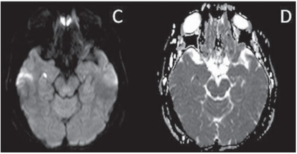
Paciente de 60 anos, sexo masculino, hipertenso, apresentou quadro de desorientação temporal e espacial de início súbito, acompanhado de cefaleia leve, sem perda de consciência, com duração de 12 horas. Foi submetido a exame de ressonância magnética do encéfalo dois dias após o início do quadro, estando disponíveis as seguintes imagens: A - T2; B - FLAIR; C - difusão; D - mapa de ADC.


Assinale a alternativa correta, que contém o diagnóstico para o quadro apresentado acima.