INSTRUÇÃO: Leia o enunciado e os dados apresentados a seguir para responder às questões 07 e 08.
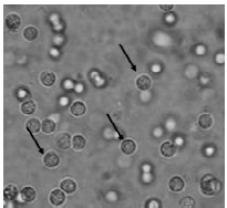
O exame de urina rotina, também denominado de EAS ou sumário de urina é muito utilizado pelos profissionais de saúde para a determinação de alterações e estados patológicos das vias urinárias e sistema renal. Considere os dados laboratoriais fornecidos por um laudo de exame de urinálise, observando os resultados de um exame de urina rotina e imagens de alguns dos elementos anormais encontrados na sedimentoscopia de 2 pacientes denominados A e B.
Resultados do EAS dos pacientes A e B
Paciente A | Paciente B | ||||
Análise Física | Análise Química | Sedimentoscopia | Análise Física | Análise Química | Sedimentoscopia |
Aspecto: turvo | PH: 8,0 |
Imagem 1 | Aspecto: turvo | PH: 5,5 |
Imagem 2 |
Densidade: 1,020 | Leucócito Esterase ++ | Densidade: 1,015 | Hemoglobina +++ | ||
Cor: amarelo escura | Hemoglobina + | Cor: âmbar | Proteína ++ | ||
Glicose ++ | |||||
Fonte: ALVARENGA, Felipe Queiroz. Dados hipotéticos sobre urinálise. 2022. Imagem 1: Disponível em: https://upload.wikimedia.org/wikipedia/commons/thumb/c/c4/Pyuria.JPG/220px-Pyuria.JPG. Acesso em: 16 jun. 2022. Imagem 2: Disponível em: https://pbs.twimg.com/media/EZMtrGSWkAAXvur.png. Acesso em: 16 jun. 2022.
É possível, através dos dados apresentados no exame de urina dos pacientes A e B, a detecção de várias anormalidades. No que se refere ao exame químico da urina de ambos os pacientes, pode-se afirmar:

