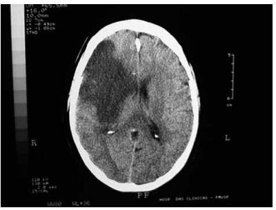
Paciente de 67 anos apresenta quadro súbito de hemiparesia. A tomografia está ilustrada a seguir.

Atualmente, há recomendação para realização de trombólise quando a janela entre o aparecimento dos sintomas e o início da trombólise é de
Provas
Questão presente nas seguintes provas