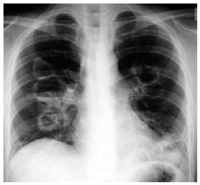
Homem de 62 anos de idade relata quadro de rinite, úlceras orais, fadiga, perda de peso e mal-estar há 3 meses. Há 1 semana evolui com tosse seca, febre baixa, rash cutâneo maculopapular e purpúrico em extremidades inferiores, com hemoptise intensa nas últimas horas, sendo internado na UTI. Exame de urina: hematúria, proteinúria e cilindros hemáticos. A radiografia de tórax realizada é mostrada a seguir.

O diagnóstico mais provável é