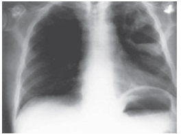
Um paciente de 48 anos foi admitido na UTI com história de uma forte gripe até uma semana atrás. Apresentava síndrome febril, tosse, dispnéia; há uma hora, apresentou hipotensão arterial. Baseado na história e na imagem, podemos afirmar o diagnóstico de:
