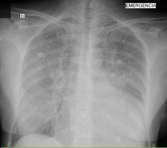
Uma mulher de sessenta anos de idade deu entrada em serviço de emergência com relato de dor torácica retroesternal leve, sem irradiações, com sensação subjetiva de dispneia associada. Previamente com relato de miocardite viral por covid e hipertensão arterial sistêmica, em uso irregular de medicações, ao exame físico da admissão, estava lúcida e orientada, com pressão arterial de 150 x 100 mmHg, bilateralmente, frequência cardíaca de 124 bpm, frequência respiratória de 28 irpm e saturação de 91% em ar ambiente, evoluindo, durante a avaliação, com piora da dispneia, progressivamente, assim como com a ausculta evidenciando estertores até o ápice pulmonar. Realizou, também, a radiografia seguinte.

Com base nesse caso hipotético, assinale a alternativa que apresenta a conduta que deverá ser adotada no momento.