O Rx de tórax faz parte do protocolo inicial do ATLS e o conhecimento dos principais padrões de imagem é obrigatório mesmo para um médico recém-formado que invariavelmente vai se deparar com tal situação no dia a dia de seu ofício.

www.radiopaedia.org
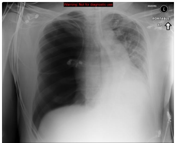
Um paciente vítima de politrauma é trazido para a sala de emergência com dispnéia, apresentando este Rx de tórax. Qual o principal diagnóstico do exame?
Provas
Questão presente nas seguintes provas