Magna Concursos
1829650 Ano: 2010
Disciplina: Medicina
Banca: CRSP PMERJ
Orgão: PM-RJ
Provas:

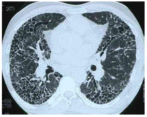
Cistos pulmonares podem ter diversas formas de apresentação, além de poderem aparecer de forma isolada ou um conjunto.

enunciado 1829650-1

Baseado na imagem disponibilizada, qual o seu diagnóstico?

 

Provas

Questão presente nas seguintes provas

1° Tenente - Radiologia

50 Questões