Magna Concursos
2606923 Ano: 2022
Disciplina: Medicina
Banca: Consulplan
Orgão: PM-RN

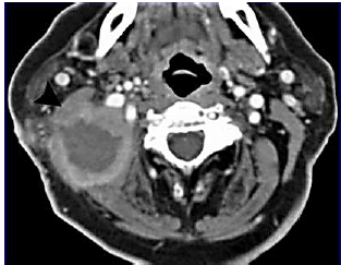
Paciente, sexo masculino, 22 anos, em tratamento para otite média aguda, há 7 dias retornou ao pronto-socorro por manutenção de febre e otalgia, além de inchaço retroautricular e cervicalgia à direita. Ao exame físico: regular estado geral; febril (39° C); e, abaulamento e hiperemia retroauricular dolorosa à direita com extensão inferior para região cervical com deslocamento anterior de pavilhão auricular ipsilateral. Presença de rigidez à movimentação cervical; ausência de sinais de Kernig e Brudzinski. Otoscopia: membrana timpânica íntegra à esquerda e conduto auditivo externo abaulado e hiperemiado. Realizada tomografia:

Enunciado 2606923-1

O diagnóstico da complicação evidenciada na imagem e a melhor conduta são, respectivamente:

 

Provas

Questão presente nas seguintes provas

QOSPM - Médico/Otorrinolaringologia

80 Questões