Magna Concursos
3809195 Ano: 2024
Disciplina: Medicina
Banca: VUNESP
Orgão: FICSAE
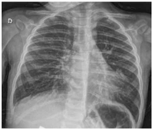
Escolar de 8 anos de idade, previamente hígido, iniciou há 10 dias quadro de febre de 38 graus, tosse, cefaleia, artralgia e odinofagia. Ficou afebril com 24 horas de evolução, porém, neste momento, é trazido ao atendimento médico por persistência dos demais sintomas e queixa de dispneia aos esforços e manchas no corpo iniciados há dois dias. Ao exame, encontra-se em bom estado geral, hidratado, corado, acianótico, anictérico, tempo de enchimento capilar de 2 segundos, FR = 40 ipm, FC = 120 bpm, SatO2 = 95%, discreta retração subdiafragmática, exantema maculopapular difuso. Orofaringe com hiperemia de mucosa sem exsudato. Otoscopia sem alterações. Murmúrios vesiculares universalmente audíveis com estertores crepitantes em base esquerda. Ritmo cardíaco regular em 2 tempos, sem sopros. Sem outras alterações no exame físico. Solicitada radiografia de tórax que revelou imagem a seguir.

Enunciado 4584209-1
 (Arquivo pessoal; imagem usada com autorização)

Considerando a hipótese diagnóstica e agente etiológico mais provável, a conduta mais adequada é:
 

Provas

Questão presente nas seguintes provas

Residência em Medicina - Pediatria

50 Questões