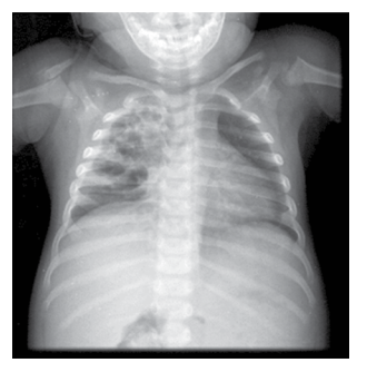
Leia o caso clínico a seguir para responder às questões de números 36 e 37.
Paciente com 4 anos de idade, sexo masculino, dá entrada ao hospital com a mãe relatando que a criança iniciou quadro de febre (38,5°C) e tosse seca há 1 semana. Na internação apresenta a imagem radiológica apresentada na figura.
