
Internet: <www.cleber.com.br> (com adaptações).
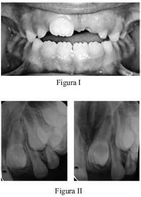
Uma paciente de seis anos de idade foi levada a um consultório odontológico para a realização de uma consulta de rotina. Ao examinar a arcada dentária da criança, o cirurgião-dentista observou que, apesar de ter havido a erupção do dente 11, ainda não havia ocorrido a erupção do elemento 21, conforme mostrado na figura I. Após a realização de radiografia da região periapical, constatou-se a presença de dente supranumerário impedindo a erupção do elemento 21, conforme apresentado na figura II, motivo pelo qual o cirurgião-dentista recomendou a remoção cirúrgica do dente supranumerário.
Tendo como referência as imagens apresentadas, julgue o item subsecutivo, relativo ao caso clínico descrito.
Se a exodontia não for realizada na paciente desse caso clínico, haverá possibilidade de os mesiodentes inclusos retardarem ou impedirem a erupção dos dentes permanentes sucessores, bem como de causarem desvios de erupção, giroversões, reabsorção radicular de dentes adjacentes e formação de cistos com destruição óssea.