Magna Concursos
2159534 Ano: 2021
Disciplina: Medicina
Banca: VUNESP
Orgão: PB Saúde
Provas:

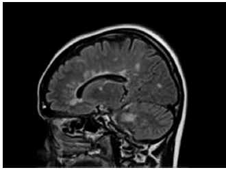
Mulher, 23 anos, comparece ao seu consultório com história de parestesias em pés e mãos de início há 6 semanas. O quadro progrediu para sensação parestésica até abdome; durou cerca de uma semana com resolução completa. Há duas semanas, voltou a apresentar parestesias em hemiface direita, com resolução completa em dois dias. Traz a seguinte ressonância de crânio.

Enunciado 2971929-1

(https://i.pinimg.com/originals/27/0c/2b/ 270c2be6d85237c47335a21bb05def0e.jpg)

Assinale a alternativa correta quanto à conduta inicial para essa paciente.

 

Provas

Questão presente nas seguintes provas

Médico - Neurologia Adulto

50 Questões