Caso Clínico IV
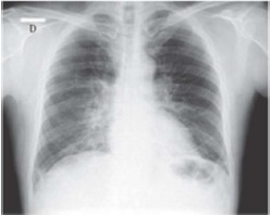
Paciente do sexo masculino, de 58 anos, empresário, natural e procedente de Goiânia – Goiás, procurou unidade de pronto atendimento relatando que há uma semana iniciou quadro gripal caracterizado por febre aferida (38,5 ºC), dores no corpo, coriza e obstrução nasal. Três dias depois, passou a sentir muito cansaço e mal-estar. Nesta ocasião procurou atendimento em unidade primária, onde realizou radiografia de tórax e recebeu o diagnóstico de pneumonia. Foi medicado com amoxacilina clavulanato por via oral, com a recomendação de retornar caso piorasse. Continuou cada vez mais cansado, retornando ao serviço de emergência novamente dois dias depois. Antecedente de hipertensão arterial em uso de losartana 50mg duas vezes ao dia. Nega outras comorbidades. Nega tabagismo. Ao exame físico, mostrava-se em regular estado geral, corado, hidratado, anictérico, cianótico +/4, dispneico +++/4, sem linfonodomegalias. Temperatura axilar de 36,8 ºC. Glasgow 15. Aparelho cardiovascular: bulhas rítmicas normofonéticas sem sopros, frequência cardíaca 110 bpm, pressão arterial de 130x90 mmHg. Aparelho respiratório: frequência respiratória de 32 incursões por minuto, com uso de musculatura acessória, ausculta pulmonar com estertores crepitantes difusos em ambos os pulmões. SpO2: 85% em ar ambiente. Abdome: nada digno de nota, sem visceromegalias. Extremidades sem edema. Peso 78 kg; altura 1,65m. Foi realizada uma nova radiografia de tórax (imagem abaixo) e coletados exames laboratoriais, incluindo hemoculturas e perfil virológico. Gasometria arterial colhida na entrada evidenciou: pH = 7,53; PaCO2 = 30 mmHg; PaO2 = 50 mmHg; bicarbonato = 24 mEq/L; base excess = +0,5 mEq/L; e SaO2 = 85%.

Considerando o caso clínico, o quadro sugere como diagnóstico