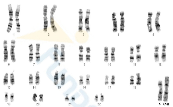
A citogenética clínica é uma área fundamental da genética médica, que combina os conhecimentos de citologia e genética, sendo responsável pela investigação de anomalias cromossômicas numéricas e estruturais por meio de técnicas como o cariótipo com bandas G, a hibridação in situ fluorescente (FISH) e a hibridação genômica comparativa (CGH). O exame do cariótipo é um dos testes mais tradicionais utilizados na citogenética clínica, permitindo a análise do conjunto cromossômico, e é indicado na investigação de diferentes distúrbios, incluindo infertilidade, abortos de repetição, atraso do desenvolvimento, casos de malformações congênitas, entre outros (Nussbaum et al, 2016). Uma paciente com 15 anos de idade, que foi atendida na especialidade de endocrinologia pediátrica, apresenta baixa estatura, atraso do desenvolvimento das características sexuais e falência ovariana. A equipe médica solicitou o exame de cariotipagem, cujo resultado é apresentado abaixo:

Fonte: Bispo (2015).
Com base no resultado do cariótipo - 46,X,i(Xq)[30], assinale a alternativa que apresenta a conclusão diagnóstica mais adequada.