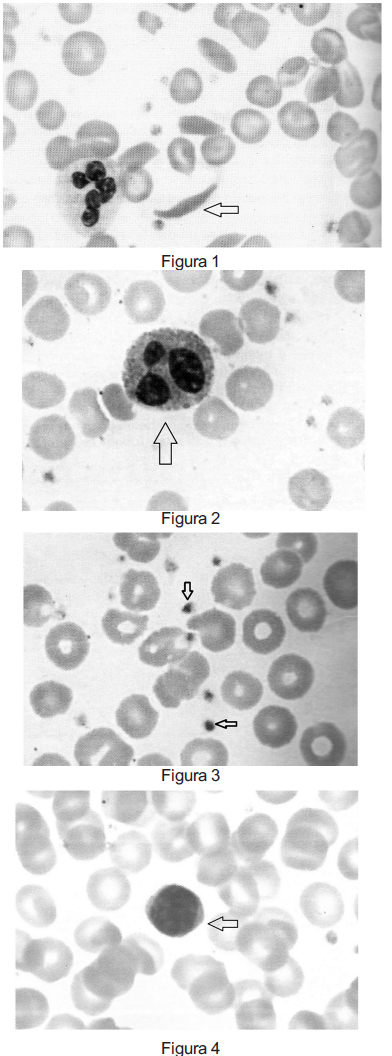
O hemograma é um exame que avalia as células sanguíneas
quantitativa e qualitativamente. Os resultados desse exame
auxiliam na identificação de doenças de origem primária
ou secundária e de características agudas ou crônicas.
São utilizados também para acompanhar a evolução de
uma variedade de doenças e para monitorar os efeitos
colaterais decorrentes do uso de medicamentos. O exame
microscópico de esfregaço de sangue corado requer
habilidades específicas resultantes da formação e do
exercício profissional do analista laboratorial. As imagens
nas figuras a seguir representam a visão microscópica de
um esfregaço sanguíneo. De acordo com a indicação das
setas, as figuras de 1 a 4 correspondem a:

