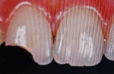
Observe a figura a seguir:

Um cirurgião dentista precisa finalizar a restauração estética da paciente. Para isso, qual material odontológico é indicado?
Provas
Questão presente nas seguintes provas
Agente de Saúde I - Auxiliar de Saúde Bucal
40 Questões