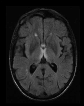
Paciente do sexo masculino, 12 anos, com quadro de diplopia, vertigem e dificuldade de marcha há 1 semana e, há 1 dia, evoluiu com sonolência. Tem diagnóstico de carcinoma de nasofaringe e perda de peso grave nos últimos meses. Ao exame físico, apresenta oftalmoparesia global e ataxia. Realizou o exame de imagem conforme mostrado a seguir. O líquor é normal.

O tratamento desse paciente deve ser realizado com