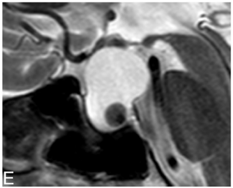
Uma mulher, 50 anos, assintomática, vem à consulta devido a
um achado na ressonância magnética de hipófise. Foi observada
uma imagem intrasselar, hiperintensa em T1 e T2, com nódulo
intracístico, conforme a imagem a seguir:

O diagnóstico mais provável e a conduta mais adequada para este caso são, respectivamente:

O diagnóstico mais provável e a conduta mais adequada para este caso são, respectivamente: