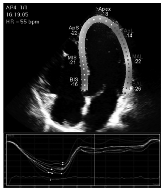
A figura a seguir representa um corte apical quatro câmaras ao ecocardiograma transtorácico mostrando o cálculo do strain global longitudinal (GLS), que descreve a mudança relativa do comprimento do miocárdio do ventrículo esquerdo entre a diástole final e sístole final por meio da fórmula GLS% = (MLs – MLd)/MLd.
Dados: ML: comprimento miocárdico, MLd: comprimento miocárdico diastólico, MLs: comprimento miocárdico sistólico.

Com relação a aspectos relacionados à técnica da captura da imagem cardíaca ao ecocardiograma, é incorreto afirmar: