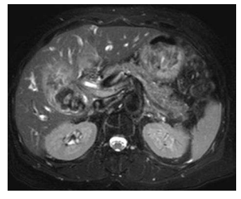
Uma paciente de 69 anos de idade, portadora de diabetes tipo 2, hipertensão arterial e hipotireoidismo, com história de IAM em 2017, apresenta quadro de icterícia progressiva, colúria, acolia, dor abdominal em hipocôndrio direito e perda ponderal de 5 kg no último mês, com inapetência e queda do estado geral. Aos exames, Hb 9 g/dL, leucócitos 12.000/mm3 , amilase 80 U/L, TGO 250, TGP 190, bilirrubina total 11 mg/dL, bilirrubina direta 9,5 mg/dL, fosfatase alcalina 320 mg/dL, gama GT 400 mg/dL e PCR 2,5 mg/dL. Ao exame físico, dor à palpação de epigástrio e hipocôndrio direito, sem DB. Realizou uma ultrassonografia de abdome, que mostrava dilação de vias intra e extra-hepáticas, com espessamento de vesícula biliar. Complementou a investigação com ressonância magnética. Mostrou a imagem a seguir.

Com base nessa situação hipotética, é correto afirmar que a