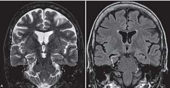
Paciente de 26 anos com epilepsia refratária ao tratamento medicamentoso, submetido à investigação complementar com ressonância magnética do crânio. No momento assintomático.

O provável diagnóstico para o caso é:
Paciente de 26 anos com epilepsia refratária ao tratamento medicamentoso, submetido à investigação complementar com ressonância magnética do crânio. No momento assintomático.

O provável diagnóstico para o caso é: