Magna Concursos
2093878 Ano: 2021
Disciplina: Medicina
Banca: UNICAMP
Orgão: UNICAMP

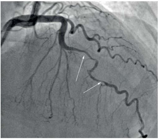
Mulher de 32 anos, deu entrada no em serviço de emergência com história de dor torácica. Conta que estava fazendo sua corrida rotineira de 5km quando apresentou forte dor precordial (intensidade 10/10) em aperto, de, associada a dispneia e sudorese, sem irradiação e que já durava mais de 1 hora. Previamente hígida, única medicação que fazia uso era anticoncepcional oral. Negava tabagismo ou história familiar de doenças cardíacas. Na chagada ao serviço de emergência foi realizado prontamente o ECG que é visto abaixo. O plantonista acionou a equipe de hemodinâmica, e a paciente foi levada ao cateterismo em 25 minutos. No momento do transporte sua dor melhorou (intensidade 2/10), e houve contato do laboratório dizendo que os marcadores de necrose miocárdica solicitados na urgência eram negativos. A imagem da coronariografia esquerda é apresentada abaixo. Baseado no caso clínico e imagem apresentada, qual opção melhor descreve o evento, e qual a melhor conduta?

Enunciado 2093878-1

Enunciado 2093878-2

 

Provas

Questão presente nas seguintes provas