Paciente com 60 anos de idade, masculino, natural de Minas Gerais, procura consulta médica devido a um quadro de tosse crônica (início há 10 anos, aproximadamente), seca, associado à dispneia classificada como mMRC 2.
No interrogatório sintomatológico, não é apresentada mialgia, febre, perda ponderal, sudorese noturna ou chiado torácico.
Antecedentes pessoais: o paciente, em uso de losartana e sinvastatina, relata história de hipertensão arterial sistêmica edislipidemia, e nega história de tabagismo.
História ocupacional/exposições: o paciente relata que trabalhou por 20 anos na extração e beneficiamento de rochas, como granito e pedras preciosas, além de ter, eventualmente, prestado serviços em perfuração de poços.
No exame físico: verifica-se bom estado geral do paciente, orientado em tempo e espaço, com frequência cardíaca e respiratória sem alterações e saturação em ar ambiente de 94%.
Aparelho respiratório: sons respiratórios presentes e bilaterais, sem ruídos adventícios. Aparelho cardiovascular: ritmo cardíaco regular em dois tempos, sem sopros. Extremidades: sem edema, alterações de pele ou outras anormalidades notadas.
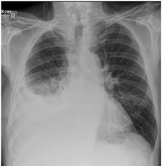
O paciente traz a seguinte radiografia de tórax:

Internet: < https://radiopaedia.org/cases/151132/studies/125463?lang=us >.
Considerando a principal hipótese diagnóstica do caso clínico hipotético apresentado anteriormente, julgue os itens a seguir.
I Indivíduos que têm esse diagnóstico apresentam até 3,5 vezes mais chances de ter tuberculose.
II Broncoscopia tem papel importante no diagnóstico, conseguindo, na maioria das vezes, fechar o diagnóstico.
III A espirometria, caso solicitada, poderia estar normal ou apresentar um espectro de padrões (obstrutivo, restritivo ou combinado).
IV O diagnóstico geralmente é clínico e baseado na história ocupacional, na imagem do tórax e na exclusão de outros diagnósticos possíveis.
V O tratamento é bem estabelecido e consiste em afastamento da exposição e uso de corticoide sistêmico, com remissão total das alterações na imagem e melhora clínica.
Assinale a opção correta.