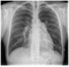
Homem, 42 anos, refere dispneia aos esforços há cinco meses, com sensação de opressão no tórax há uma semana. Nega tosse, expectoração ou chiado. Nega tabagismo. Exame físico: PS 120/79 mmHg; FC 86 bpm; saturação de O2 (ar ambiente) 91%. Ausculta cardíaca: hierfonese e desdobramento de segunda bulha em foco pulmonar. Turgência jugular bilateral. Pulmões limpo. Exames laboratoriais: hemoglobina 12,2 g/dL; leucocitos 8.500/mm³ plaquetas 152.000/mm³. Radiograma de toráx:

O exame indicado para iniciar a investigação da dispneia desta paciente é: