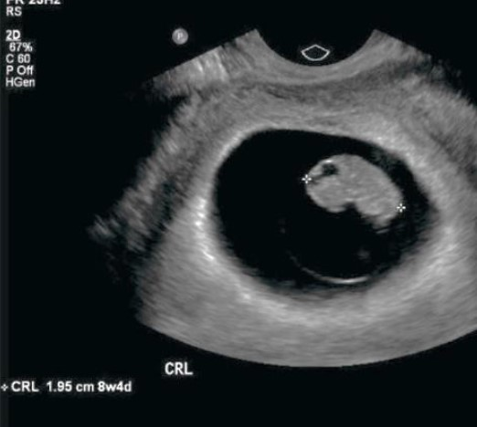
Paciente, na 8ª semana de gestação, procura atendimento após sangramento via vaginal. De acordo com a imagem a seguir, é correto afirmar que

Paciente, na 8ª semana de gestação, procura atendimento após sangramento via vaginal. De acordo com a imagem a seguir, é correto afirmar que
