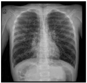
Considere as imagens e a seguinte descrição: menino, com cinco anos de idade, com piora lenta e progressiva de falta de ar há mais de um ano e piorando no último mês, impossibilitando-o de brincar.


O diagnóstico mais provável é:
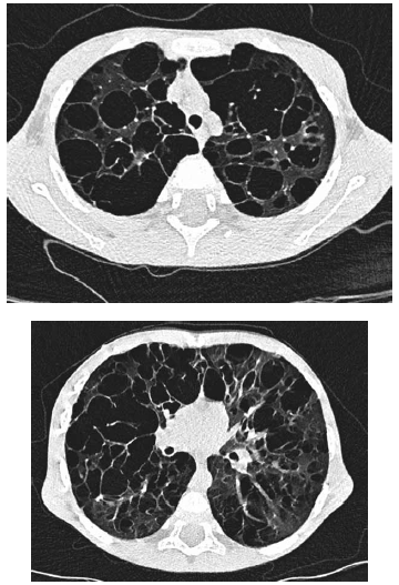
Considere as imagens e a seguinte descrição: menino, com cinco anos de idade, com piora lenta e progressiva de falta de ar há mais de um ano e piorando no último mês, impossibilitando-o de brincar.


O diagnóstico mais provável é: