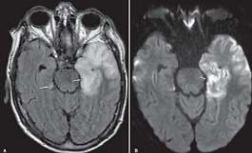
Paciente de 8 anos, com histórico de febre, cefaléia, crises convulsivas reentrantes e rápida progressão para rebaixamento do nível de consciência. Realizada punção lombar que demonstrou celularidade elevada com predomínio de linfócitos com glicose e proteínas normais. Realizou ressonância magnética do crânio que demonstrou os achados abaixo.

Baseado no caso clínico e nos achados de imagem, assinale a alternativa correta.