Magna Concursos
2607358 Ano: 2022
Disciplina: Medicina
Banca: Consulplan
Orgão: PM-RN
Provas:

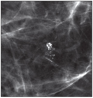
Paciente, 61 anos, assintomática, mamografia de dois anos anteriores sem alterações. Último exame evidenciou lesão mamográfica a seguir:

Enunciado 2607358-1

De acordo com o exposto, assinale a conduta correta para o caso.

 

Provas

Questão presente nas seguintes provas

QOSPM - Médico/Mastologia

80 Questões