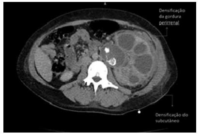
Mulher de 58 anos apresenta-se com dor no flanco, febre e mal-estar prolongado. Ela tem um histórico de infecções recorrentes do trato urinário e cálculos renais. Exames de urina revelam piúria e bacteriúria. Uma tomografia computadorizada mostra uma massa renal com características de “pata de urso” e densificação da gordura perirrenal e densificação do subcutâneo.

(https:// drpixel.fcm.unicamp.br)
Com base na história clínica e no exame de imagem, assinale a alternativa que apresenta o diagnóstico correto.