Magna Concursos
2038233 Ano: 2021
Disciplina: Medicina
Banca: DIRENS Aeronáutica
Orgão: CIAAR

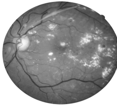
Observe a retinografia abaixo.

Enunciado 2038233-1

Fonte: Arquivo da Banca Elaboradora.

Nesse caso, é correto afirmar que

 

Provas

Questão presente nas seguintes provas

CAMAR - Medicina/Oftalmologia

60 Questões