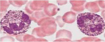
Paciente infantil, diagnosticado com mucopolissacaridose (MPS) tipo IV apresentou em seu hemograma: índice leucocitários sem alterações e presença de alterações neutrofílicas. O exame citoquímico demonstrou acentuado acúmulo de sulfato de heparan, como demonstra a figura a seguir.
Lâmina de esfregaço de sangue periférico:

(Laboratório de Análises Clínicas da FMABC)
Estas alterações neutrofílicas recebem o nome de
Provas
Questão presente nas seguintes provas
Médico - Patologia Clínica/Medicina Laboratorial
50 Questões