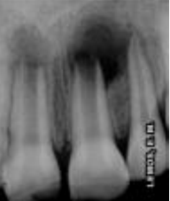
Analisando a imagem radiográfica ao lado, observou-se a presença de lesão periapical nos incisivos superiores. Segundo o relato do caso, a criança sofreu um acidente traumático (queda no toboáguá, batendo a boca no fundo da piscina) há um ano. Clinicamente observou-se uma fratura coronária no dente 11, com envolvendo esmalte, dentina, e no dente 21 fratura de esmalte. Relatou ainda que os dentes ficaram muito moles e que aos poucos a mobilidade cessou. No exame radiográfico observou-se rizogênese incompleta, com presença de lesão em ambos os dentes.
Assinale a alternativa correta quanto ao tratamento corretamente indicados para o paciente e o objetivo do mesmo, respectivamente:

imagem do site www.end o-e.com |