Paciente do sexo masculino, 43 anos de idade, sem
doenças prévias, apresenta dispneia há cerca de 1 ano,
inicialmente aos grandes esforços, evoluindo progressivamente para moderados e pequenos esforços. Nega
tosse, febre, dor torácica, tabagismo, uso de álcool ou de
drogas ilícitas. Exame físico: PA: 112 x 88 mmHg, pulso:
112 bpm e frequência respiratória: 16 ipm; ausculta pulmonar com crepitações em 1/2 de ambos os pulmões.
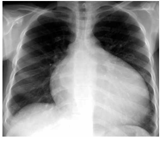
A radiografia realizada é mostrada a seguir.

Assinale a alteração ao exame físico que é mais provável de ser encontrada.

Assinale a alteração ao exame físico que é mais provável de ser encontrada.