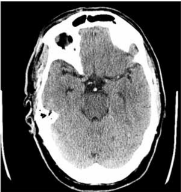
Paciente do sexo masculino, 67 anos, apresentou-se ao hospital com rebaixamento súbito da consciência há uma hora da admissão. Ao exame apresentava tetraparesia flácida, sonolência e nistagmo vertical. Após estabilização hemodinâmica, realizou tomografia de crânio (a seguir). Familiar que acompanha o paciente refere que ele faz uso de medicações para hipertensão arterial e arritmia cardíaca, mas não sabe informar os nomes.

(https://www.google.com/ url?sa=i&url=https%3A%2F%2Fwww.frontiersin.org%)
Assinale a alternativa que apresenta, corretamente, o tratamento mais adequado para esse paciente.