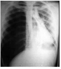
Homem de 50 anos é vitima de atropelamento. A radiografia de tórax é mostrada abaixo. Durante a avaliação clínica apresenta parada cardiorrespiratória (PCR).

Pelos dados apresentados é mais provável
Homem de 50 anos é vitima de atropelamento. A radiografia de tórax é mostrada abaixo. Durante a avaliação clínica apresenta parada cardiorrespiratória (PCR).

Pelos dados apresentados é mais provável