Magna Concursos
2173707 Ano: 2021
Disciplina: Medicina
Banca: VUNESP
Orgão: EsFCEx

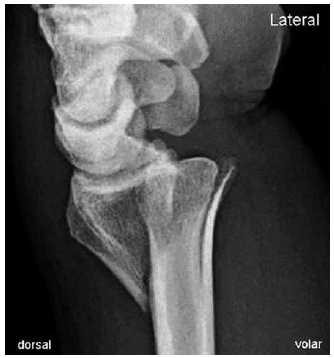
Radiografias em PA e perfil do punho de paciente masculino, 54 anos, com queda com a mão espalmada, praticando atividade esportiva.

Enunciado 2173707-1

Enunciado 2173707-2

A fratura do rádio mostrada nas imagens pode ser classificada como fratura de

 

Provas

Questão presente nas seguintes provas

CFO-SSau - Médico/Radiologia

60 Questões