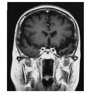
Observe abaixo a imagem por ressonância magnética

A imagem de um corte frontal mostra um paciente com demência semântica, em que se observa
Observe abaixo a imagem por ressonância magnética

A imagem de um corte frontal mostra um paciente com demência semântica, em que se observa