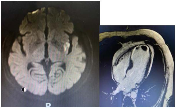
Homem de 56 anos hipertenso bem controlado com diagnóstico prévio de doença arterial coronária (IAM há 4 anos) em uso de AAS 100mg/dia, metroprolol 50mg/dia, atorvastatina 20mg/dia e valsartana 360mg/dia é admitido com quadro súbito de afasia. Foi submetido a trombólise com melhora completa dos sintomas. ECG mostrava ritmo sinusal e área inativa anterior. Na investigação realizou Holter-24hs que mostrou ritmo sinusal com raras extra sístoles atriais. Doppler de carótidas sem aterosclerose significativa. Realizou ressonância magnética do crânio e do coração com imagens representadas a seguir:

Qual alternativa melhor descreve a origem da afasia do paciente: