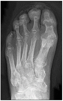
“Homem, 43 anos, refere dor, edema e calor em região das articulações dos dedos e mãos à direita, associadas à dor em região do hálux esquerdo, desencadeada após ingestão alcoólica. Realizou a radiografia, conforme a imagem a seguir.”

Qual o tipo de cristal com maior probabilidade de ser encontrado na análise sinovial do paciente?