Magna Concursos
3402006 Ano: 2024
Disciplina: Odontologia
Banca: COTEC
Orgão: Pref. Montes Claros-MG
Provas:

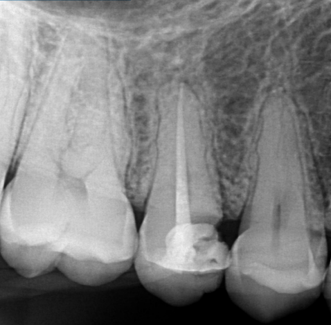
Paciente de 24 anos de idade procurou atendimento odontológico para o dente 15. Segundo o paciente, há 2 dias, ao se alimentar, acabou fraturando um pedaço do dente. Ao exame clínico, foi observada fratura da cúspide palatina subgengival, falta de material restaurador na mesial e presença de bom remanescente dental nas faces vestíbula e distal, sem necessidade de indicação para reabilitação com retentor intrarradicular e coroa protética com fenótipo periodontal espesso. Ao exame radiográfico, foi observado tratamento endodôntico realizado, ausência de lesão periapical e a lesão cariosa que originou a fratura, a qual estava localizada ao nível da crista óssea com os tecidos de inserção supracrestal violado (espaço biológico). Comprimento do dente na radiografia periapical – 21,0 mm, coroa anatômica com 7,0 mm da oclusal à junção cemento-esmalte. Observe a radiografia a seguir:

Enunciado 3892187-1

Fonte: O autor, 2024.

Com base na radiografia periapical e nas informações clínicas do caso, defina a viabilidade de se realizar tratamento cirúrgico para reestabelecer os tecidos de inserção supracrestal e qual o tratamento indicado.

 

Provas

Questão presente nas seguintes provas

Odontólogo - Periodontia

40 Questões