Magna Concursos
2094238 Ano: 2021
Disciplina: Medicina
Banca: RBO
Orgão: Pref. Belo Horizonte-MG

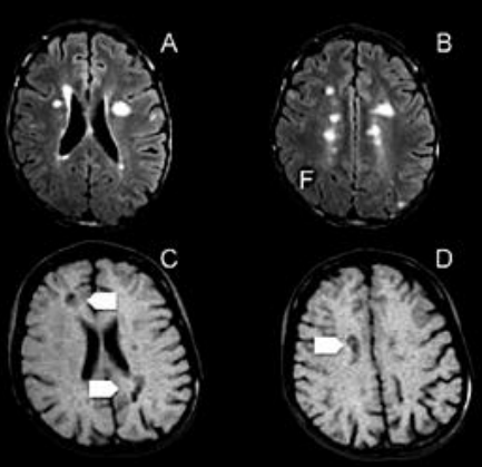
As imagens da ressonância abaixo são sugestivas de:

Enunciado 2094238-1

 

Provas

Questão presente nas seguintes provas